
How Crown Lengthening Improves Both Function And Appearance
A short tooth can affect how you eat, speak, and smile. Crown lengthening changes that. In this procedure, your dentist reshapes the gum line and sometimes the bone around a tooth. This exposes more of the tooth surface. As a result, you get a stronger base for crowns or fillings. You also gain a more even smile. Many people seek crown lengthening when they feel their teeth look too small. Others need it because decay or breakage sits below the gum line. Both needs are valid. You deserve a mouth that works well and looks clean. If you feel nervous, that is normal. A skilled dentist in Clearwater, FL can walk you through each step, explain your options, and plan your care with your goals in mind. You can reclaim comfort when you bite and new confidence when you smile.
What Crown Lengthening Actually Does
You might hear the name and feel confused. Crown lengthening does not stretch the tooth. Instead, the dentist changes the gum and sometimes the bone around it. That change reveals more natural tooth above the gum line.
You benefit in three main ways.
- Your tooth can hold a crown or filling with more strength.
- Your gums sit in a more balanced line.
- Your dentist can reach decay or cracks hidden under the gum.
The National Institute of Dental and Craniofacial Research explains that gum health shapes how well you chew and speak. Crown lengthening supports that basic need. Healthy gums that fit well around each tooth protect the roots and bone.
Functional Benefits You Can Feel Every Day
Crown lengthening often starts with a simple goal. You need a tooth repaired. The dentist sees that there is not enough tooth above the gum to hold a crown or a large filling. Without a more exposed tooth, that work may fail. The crown can loosen. The filling can break. Food can slip inside tiny spaces and cause new decay.
After crown lengthening, you gain three key functional benefits.
- Stronger repairs. More exposed tooth means stronger bonding for crowns and fillings.
- Better bite. A repaired tooth can match your other teeth in height. That balance spreads chewing force.
- Easier cleaning. Your brush and floss can reach the new gum line. That helps you clear away plaque.
The American Dental Association shares that untreated decay and broken teeth can lead to pain and infection. You avoid those problems when the dentist can restore the tooth with a solid base. You feel that every time you chew without fear of a crack or sharp edge.
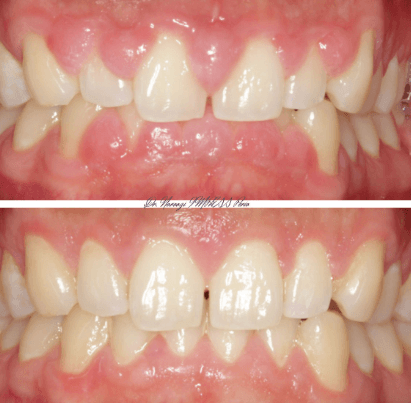
Cosmetic Benefits That Change Your Smile
Crown lengthening often improves appearance at the same time. You may feel that your teeth look short. You may hide your smile in photos. A high or uneven gum line can cause that feeling. When the dentist reshapes the gum edge, more tooth shows. Your smile looks more even from side to side.
Three cosmetic gains stand out.
- Your teeth look longer and more balanced.
- Your gums frame each tooth in a simple line.
- Your smile shows more teeth and less gum.
These changes do not chase perfection. Instead, they support a natural look that matches your face. Many people feel a quiet lift in self-respect when they see a steady, even smile in the mirror.
Common Reasons You Might Need Crown Lengthening
You and your dentist may consider crown lengthening for several reasons.
- Decay or old fillings extend under the gum line.
- A tooth broke near the gum.
- Your gums cover a large part of your front teeth.
- Your gum line looks uneven across your smile.
Sometimes medication, genetics, or past gum disease change how your gums sit on your teeth. Crown lengthening lets the dentist reset that edge. The Centers for Disease Control and Prevention note that almost half of adults live with some form of gum disease. Care that shapes the gums can support cleaning and long-term health.
Comparing Functional and Cosmetic Crown Lengthening
Crown lengthening uses the same core steps. Yet the main goal can differ. This table outlines how functional and cosmetic plans compare.
| Feature | Functional Crown Lengthening | Cosmetic Crown Lengthening |
|---|---|---|
| Main reason | Prepare for crown or filling | Reduce “gummy” smile |
| Main focus | Access decay or fracture | Even out gum line and tooth length |
| Teeth involved | Often one tooth | Often several front teeth |
| Insurance coverage | More likely when tied to decay or damage | Less likely when cosmetic only |
| Key benefit | Stronger, longer lasting repair | More balanced smile |
What You Can Expect During the Procedure
The thought of gum surgery can stir fear. Knowing the steps can ease that fear. Here is a simple outline.
- You receive numbing in the treatment area.
- The dentist shapes the gum tissue around the tooth.
- If needed, the dentist smooths a small amount of bone.
- The gums are placed in their new position and sutured.
- You receive clear home care instructions.
You stay awake but feel pressure more than pain. The visit often lasts one to two hours, based on how many teeth need care.
See also: Advanced detection tech: keeping us safe from hidden threats
Healing, Risks, and Long Term Care
After crown lengthening, you can expect some soreness and swelling. Your dentist may suggest over-the-counter pain relief, a soft food plan, and gentle brushing near the site. Sutures often come out in about one to two weeks. Full healing of the gums and bone takes longer, often several months.
Possible risks include bleeding, infection, or tooth sensitivity to hot and cold. Careful brushing, flossing, and follow-up visits lower those risks. You protect your results when you keep plaque off the new gum line and see your dentist for regular cleanings.
In time, the gums settle into their new shape. Your crown or filling can then be placed on a firm base. You gain a tooth that works hard when you chew and a smile that feels steadier. That mix of function and appearance can restore trust in your own mouth.



